This guide explains what ankle fractures are, how they happen, common symptoms, how doctors diagnose them, treatment options, and what recovery usually involves. It’s written for patients and families and is meant to support, not replace, a visit with your OrthoNJ orthopedic specialist.

Your ankle is a complex joint where the shin bones (tibia and fibula) meet the foot bone (talus). A fracture is a break in one or more of these bones, and it can range from a simple crack to a major injury that affects several parts of the joint.
Some ankle fractures are stable and can heal in a cast or boot. Others are unstable and may need surgery to realign and hold the bones in place. The team at OrthoNJ evaluates each injury carefully to help protect your long-term ankle function. Treatment decisions depend not only on the fracture pattern but also on overall health, age, bone quality, and your personal goals.

An ankle fracture can involve one or more of the bones that make up the joint. Understanding which bone is broken helps guide treatment and gives a better idea of how unstable the ankle might be.
| Bone or area | Location | Common description |
|---|---|---|
| Lateral malleolus | Outer part of the ankle, end of the fibula | Most common ankle fracture, often from twisting injuries |
| Medial malleolus | Inner ankle, lower end of the tibia | Can occur alone or with other fractures, often more unstable |
| Posterior malleolus | Back of the tibia at the ankle | May affect joint stability and needs careful evaluation |
| Bimalleolar fracture | Both inner and outer ankle bones | Usually unstable, often needs surgical fixation |
| Trimalleolar fracture | Inner, outer, and back of the tibia | Significant injury that usually requires surgery |
Doctors also look at the ligaments that support the ankle. Ligament injuries, even without a third bone fracture, can make the ankle unstable and change the treatment plan.
Most ankle fractures happen when the ankle twists, rolls, or is forced beyond its normal motion. The position of your foot and the direction of the force at the moment of injury affect which bones and ligaments are damaged.
Surgeons sometimes describe ankle fractures using systems and names based on the direction of the force and the pattern of the break. These details help them decide whether the ankle is stable and what kind of treatment is safest. Children can have different injury patterns such as growth-plate injuries and may be evaluated and treated differently by pediatric orthopedic specialists.
Symptoms can start right away and can range from mild to severe. Not everyone with an ankle fracture can put weight on the foot, but some people still can, even with a break.
Severe pain, trouble walking, or a clearly misshapen ankle should be treated as an urgent problem. If the skin is broken near the fracture, it is considered an open fracture and needs immediate medical attention.
Evaluation usually starts with a careful medical history and physical exam. Your doctor will ask how the injury happened, whether you could walk afterward, and where the pain is worst.
These findings help your OrthoNJ provider decide whether the ankle is stable enough for nonsurgical care or whether surgery gives you a better chance at a well-aligned, durable joint.
Many stable ankle fractures can heal without surgery if the bones line up well and the joint stays in a good position. Your doctor will review your imaging and exam to decide if this approach is appropriate for you. Prolonged immobilization and reduced mobility can increase the risk of blood clots in the legs, so follow your surgeon's instructions about movement and, when appropriate, measures to reduce clot risk.
Careful follow-up is important. If the bones shift or the ankle becomes unstable during healing, your doctor may adjust the plan or discuss surgery.

Surgery is more likely if the ankle joint is out of place, if multiple bones are broken, or if ligaments are severely damaged. The goal is to restore normal alignment of the joint and keep the bones steady while they heal.
Common reasons your OrthoNJ surgeon may advise surgery include:
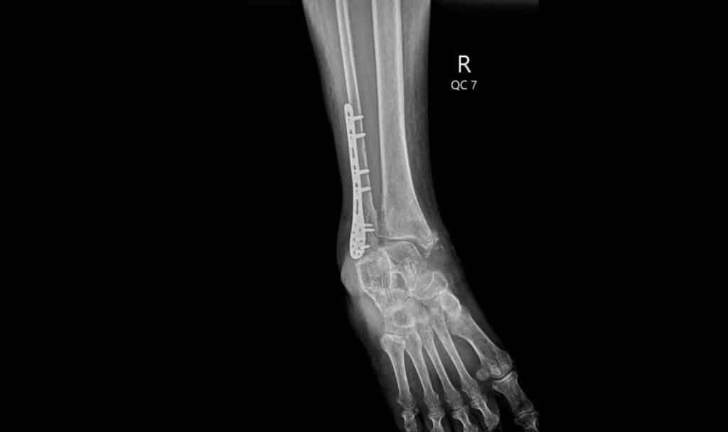
During surgery, metal plates, screws, or other implants are used to hold the bones in a normal position while they heal. These devices may stay in place permanently unless they cause problems later.
After surgery, you will usually have your ankle in a splint or boot. Many people keep weight off the leg at first while the bone and soft tissues start to heal.
Your exact plan depends on the type of fracture, the surgery performed, your overall health, and how your ankle is healing. Remember that reduced mobility during recovery can raise the risk of blood clots, so follow instructions about movement and any prescribed clot prevention measures.
Rehab is an important part of healing from an ankle fracture, whether or not you have surgery. Physical therapy usually starts after the bone has had some time to mend and your doctor feels it is safe to move the joint.
Typical goals of rehab include reducing stiffness, restoring motion, rebuilding strength, and working on balance and walking. Your OrthoNJ provider and physical therapist will tailor your program to your needs and activity level.
Healing times vary, but many fractures take about 6 to 12 weeks to heal on X-rays. Full recovery, including return to sports or heavy work, can take several months. Your surgeon will guide your timeline based on your specific situation.
Even with proper treatment, some people have lingering problems after an ankle fracture. These are more likely with severe injuries, open fractures, or fractures involving the joint surface.
Early treatment, good alignment, and a well-guided rehab program can lower the risk of long-term problems, but they cannot remove all risk. Your OrthoNJ team will talk with you about realistic expectations for your ankle.
Get urgent medical care right away if you have:
During recovery from an ankle fracture, call your doctor if you notice increasing pain, redness, drainage from the incision or skin, new numbness or tingling, or any concerns about your splint, cast, or boot. If you develop sudden severe leg swelling or calf pain, seek urgent care right away.
Ankle fractures can affect your mobility, independence, and ability to work or play sports. At OrthoNJ, orthopedic specialists evaluate your injury, explain your options, and create a treatment plan that fits your health, goals, and daily life.
If you’ve injured your ankle and are worried about a fracture, or if you’re recovering and have questions about your progress, schedule an appointment with an OrthoNJ provider. Early, accurate diagnosis and a clear plan can help you return safely to the activities that matter to you.
This information is for general education and is not a substitute for medical care. Always discuss your specific situation with your OrthoNJ orthopedic specialist or another qualified healthcare professional.
Contact one of OrthoNJ's locations spread out through all of New Jersey.

This treatment info is for informational purposes only. Treatment and recovery vary person to person, and you should consult with your treating physician and team for details on your treatment and recovery process.